앞니 임플란트

씹는 기능보이는 심미성을 동시 개선

잘 보이는 부위이기 때문에 일반 임플란트보다

난이도·정밀도·경험이 크게 좌우됩니다.


✔ 앞니가 빠졌거나 발치 예정인 경우

✔ 앞니 임플란트 후 모양이 마음에 들지 않는 경우

✔ 웃을 때 임플란트 티가 나는 게 걱정되는 경우

✔ 자연스러운 미소를 중요하게 생각하는 경우

앞니의 역할

일상생활 속 외적으로 가장 많이 노출되는 앞니는 심미적인 역할 외에도 가위처럼 음식을 자르고 끊어주며, 정확한 발음에도 영향을 줍니다. 또한 하악(아래턱)이 움직일 때 어금니끼리 맞닿아 마모되지 않도록 하는 역할도 있습니다.

Check Point

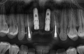
최종 결과의 자연스러움을 좌우하는 기둥(Abutment)

보이지 않는 차이가 결과를 만듭니다. 앞니 임플란트는 겉으로 보이는 치아뿐 아니라 보이지 않는 기둥까지 신경써야 합니다. 일반 금속 기둥이 아닌 세라믹 기둥을 사용하면 잇몸이 어두워보이지 않아 자연스럽게 보이며 잇몸 라인 유지에 유리합니다. 때문에 앞니, 웃을 때 많이 보이는 부위, 심미가 중요한 경우에 주로 사용됩니다.

세라믹 기둥(Abutment) 사용

앞니 임플란트

퍼펙트치과의 특별함

앞니 임플란트

퍼펙트치과의

특별함


01.

심미성 특화

대화할 때, 웃을 때 바로 보이는 앞니는 조금만 어색해도 인공치라는 느낌이 바로 드러납니다. 앞니 임플란트는 자연치와 구분되지 않는 섬세한 디자인이 핵심입니다. 퍼펙트치과는 앞니 치료에 특화되어있어 색상, 위치, 각도를 조절해 자연스러운 미소를 만듭니다.

02.

잇몸 라인의 차이

앞니 임플란트의 완성도는 잇몸 라인에서 차이가 납니다. 기성품이 아닌 맞춤형 지대주를 사용해 잇몸 뼈와 형태까지 고려한 전치부 임플란트를 설계합니다.

03.

앞니의 구조 이해

앞니는 구조적으로 뼈가 얇고 치아를 상실한 뒤 뼈 흡수가 빠르게 진행되어 까다롭습니다. 정확한 위치에 식립하지 않으면 심미적으로 만족도가 떨어질 수 있어 3D CT 기반 정밀 진단을 통해 정확도 높은 수술 계획을 수립합니다.

04.

최종 보철의

완성도가 다릅니다.

퍼펙트치과는 앞니 치료에 자신있습니다. 원내 자체 기공소에서 전문 기공사에 의해 완성도 높은 보철이 제작됩니다.

mobile background
PROMOTION


앞니 임플란트,

처음이 중요합니다.


정밀 진단부터 심미 디자인까지

앞니 임플란트 상담을 받아보세요.