상악동거상술

술자의 높은 능력이 필요한 고난이도 임플란트

일반 임플란트 수술과 달리 매우 어려운 수술이기 때문에

이에 관한 깊은 지식과 높은 기술력, 정확한 판단이 중요합니다.

퍼펙트치과는 풍부한 경험과 지속적인 연구개발로

보다 안전하고 만족도 높은 상악동수술을 시행합니다.


푸르고바이오로직스

천연 골이식재 THE Graft

위턱 어금니 부위 임플란트 시

✔ 잇몸뼈가 흡수된 경우

✔ 상악동이 내려와 뼈 높이가 얕은 경우

✔ 노화로 뼈가 얇아진 경우

상악동이란?

사람의 얼굴 뼈, 양 볼 안쪽에 있는 빈 공간으로 소리의 공명을 일으키며 공기의 노폐물과 먼지를 걸러내고 두개골의 무게를 줄여주는 역할을 합니다.  위턱 어금니 부위에 임플란트 시 치조골량이 부족한 것이 대부분인데 이는 상악동의 빈 공간 때문입니다. 상악동은 얇은 미세한 막으로 둘러싸여 있는데 이 막을 들어 올린 후 그 부위에 치조골을 이식하여 임플란트를 심을 바탕을 마련해 주는데, 이러한 수술을 상악동 수술을 동반한 임플란트라고 표현합니다.

상악동거상술 종류

치조골의 잔존량과 임플란트 시술 범위에 맞추어 진행됩니다.

방법 1.

치조정접근법

Crastal approach

방법 2.

측방접근법

Lateral approach

상악동 수술 시

뼈이식 꼭 필요한 이유

상악동은 윗 어금니 위에 있는 빈 공간입니다.

임플란트는 잇몸이 아니라 뼈에 고정하는 치료이기 때문에

뼈가 부족하면 임플란트를 단단하게 심을 수 없습니다

그래서 임플란트를 안정적으로 오래 쓰기 위해

뼈이식은 꼭 필요한 과정입니다.

하지만 노하우나 기술력이 부족할 경우 천공이나

임플란트 불안착으로 재수술을 받게 될 수 있으므로

필히 노하우가 풍부한 전문적인 의료진에게

상악동수술을 받아봐야 합니다.

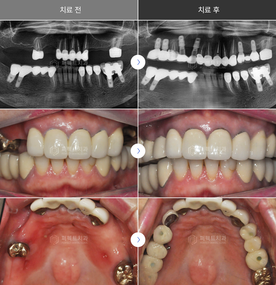
상악동거상술 치료증례


"60대 상악동수술 동반 임플란트"

틀니가 불편하고 기능적으로도 만족스럽지 못해

임플란트로 재치료를 희망하여 내원하셨습니다.


치료 전

세 부위에 수술이 필요할 것으로 보이고, 상악 우측은 임플란트를 심기에는 치조골의 양이 너무 적어서 상악동 내부 뼈이식이 필요했습니다.

 

20번대 수술 후 CT

구치부는 6.4mm 직경에 5.6mm 길이의 뼈가 남아있고, 소구치부는 6.5mm 정도의 뼈가 남아있는 상태였습니다. 20번대 수술하면서 상악동 내부 인공 치조골 이식을 동반 실시하였습니다.


10번대 구치부 상악동 수술 필요
2.9mm 남은 상악 우측 대구치부를 확인해보니 상악 우측 어금니 부위 뼈의 두께는 2.9mm입니다. 발치한지 오랜 시간이 지났고 뒤에 지지하는 치아도 없기 때문에 후방연장 틀니를 사용하면서 계속적인 교합력이 치조골에 가해졌고 점차 잇몸뼈 흡수가 가속화 돼서 2.9mm 밖에 남지 않았습니다. 임플란트를 심기 위해 8mm 정도의 두께의 뼈가 있는 것이 좋으나 지금처럼 원하는 뼈의 25% 밖에 없는 경우는 *상악동의 옆 창문을 열고 인공 치조골 이식을 동반하여 치료를 하는 것이 좋습니다. 측방접근법 상악동거상술  이 경우 술 후 5~6개월의 숙성과정을 거쳐 뼈가 잘 형성된 것을 확인하고 보철을 만들게 됩니다.


20번대 소구치부 CT
발치한 뒤 오랜 시간이 지나면 치조골이 흡수되어 없어집니다. 특히 바깥 부분이 빠르게 없어지는 것은 20번대 고수치부CT에서 확인할 수 있었습니다. 이 부위는 폭이 5.2mm밖에 남아있지 않아 3.5mm 정도 또는 인공 치조골을 이식하여 4.0mm 정도의 임플란트를 식립할 수 있었습니다. 소실된 우측 송곳니와 소구치 사이에서 두꺼운 치조골 부위는 찾아 의도적으로 방향을 꺾어 임플란트를 식립하기로 계획하였으며 사진은 수술 후 6개월 뒤 보철을 올려 마무리된 파노라마입니다.



본문의 이해를 돕기 위해 환자분의 동의를 얻어

의료법 제 23조, 제 56조에 의거하여 게재합니다.

수술 후 염증, 출혈, 감염 등 부작용이 발생할 수 있습니다.



다수의 치아를 대신해 임플란트를 여러 개 식립할 때

최종적인 기능을 할 수 있도록 좋은 위치에 심어야 합니다.

또한 남아있는 뼈가 얼마나, 어느 방향으로 남아있는가에 의해 거의 100% 결정된다고 해도 과언이 아닙니다. 뼈가 다 녹은 다음에 좋지 않은 위치에 심어서 보철을 힘들게 맞추기 보다는 치아를 상실하고 최대한 빠른 시간 안에 적절히 뼈가 있을 때 임플란트를 심어서 좋은 결과를 도모하는 것이 환자분의 만족도를 높일 수 있는 가장 좋은 방법이라고 할 수 있습니다.  

- 임플란트 수술 시 매우 중요한 골이식재 -

Purgo 천연 골이식재 사용

푸르고바이오로직스 골이식재 THE Graft™는

인간의 뼈와 유사성이 높아 뛰어난 생체적합성을 자랑하며

특허 받은 바이러스 불활성화 공정 기술 덕분에

잠재적인 감염 또는 면역 반응이 원인이 될 수 있는

유기 성분이 없어 안정성이 높은 천연 골이식재입니다.


mobile background
PROMOTION


임플란트 비용안내

Address 

서울특별시 강남구 테헤란로4길 5, 해암빌딩 4층

역삼동 824-17 해암빌딩 4층 

02.544.7728

Surgery hours 

월 목 금 AM 10:00 - PM 7:00

화 / 수 AM 10:00 - PM 8:30
토 요 일 AM 10:00 - PM 4:00

일 요 일 AM 11:00 - PM 4:00 
점심시간 PM 1:00 ~ 2:00

*일요일 점심시간 없음, 대표원장 단독진료, 사전예약 필수

Consultation

전화 상담으로 친절하게 상담해드립니다.

예약은 '네이버 예약' 이용하시면 편리합니다.