치아 표면에 침착된 색소나 치아 자체의 색을 하얗게 하는

과정으로 치아를 삭제하거나 손상시키지 않으면서

희고 밝게 만드는 방법입니다. 보통 1년 정도 유지되며

점차 원래의 상태로 회복되는 경우가 대부분입니다.

따라서 치료 후에도 지속적인 관리가 필요하며

6개월~1년에 한 번씩 부가적인 미백치료를 받으면

효과를 더 오래 유지할 수 있습니다.

@YouTube

치아미백 과정과 결과를 영상으로 확인해보세요.

PERFECT DENTAL CLINIC
치아미백 종류
01. 전문가미백

일반인들이 사용하기에 위험한 고농도 미백제를
사용하여 전문가에 의해 미백하는 방법입니다.
고농도의 미백제를 사용하기 때문에 음식물에 의한
변색, 테트라사이클린으로 인해 줄무늬가 생긴
치아를 하얗게 하는데 효과적이며 자가 미백에 비해
소요 시간이 짧고 1~2개의 변색된 치아만 하얗게
하는데도 도움이 됩니다.

02. 자가미백

치과의사와 상담 후 집에서 스스로 시행하는

방법입니다. 우선 환자 개인의 치아에

정확히 맞게 제작된 얇은 트레이에

미백용 젤을 주입하고 트레이를 장착합니다.
효과는 치료시작 1주일 후부터 점차 나타나기
시작하여 보통 3~4주 정도 소요됩니다. 

03. 실활치미백

충격 등으로 치수가 괴사(신경이 죽어서)되어

활력을 잃고 변색된 치아를 주변 치아와

유사한 색으로 만들어주는 방법입니다.
일반 미백과 다르게 신경관 내 미백제를 넣는
방법으로 미백이 진행됩니다. 

PERFECT DENTAL CLINIC
전문가미백vs가미백
전문가미백
방법
치과에서 전문가에 의해 시술
소요기간
15분씩 2~3회, One day
주성분 농도
과산화수소 15% 이하
미백효과
1~2개 변색된 치아에도 효과적
비용
비싼 편
주의사항
미백 후 잠시 시림 증상이 있을 수 있음
자가미백
방법
집에서 스스로 시행
소요기간
3~4주 소요
주성분 농도
과산화수소 3.5~5.4%
미백효과
1~2개 변색된 치아에는 효과 미비
비용
전문가 미백의 절반 정도
주의사항
잇몸 손상의 우려가 있음

CHECK!

내 치아는
얼마나 변색됐을까?

퍼펙트치과는 다양한 미백 프로그램이 준비되어있어

검진 결과를 기반으로 환자분의 우선 순위에 따라

적합한 치료방법을 결정할 수 있습니다.

mobile background

미백 약제의 작용으로 치아 표면에 침착된 색소나 치아 자체의 색을 하얗게 하는 과정으로
치아를 삭제하거나 손상시키지 않으면서 희고 밝게 만드는 방법입니다. 

보통 6~12개월 정도 유지되며 후 관리가 유지기간에 많은 영향을 줍니다.
따라서 치료 후에도 지속적인 관리가 필요하며 6개월 간격으로 부가적인 미백치료를 받으면

효과를 더 오래 유지할 수 있습니다.

@YouTube

  치아미백 과정과 결과를

  영상으로 확인해보세요.

PERFECT DENTAL CLINIC
치아미백 종류
PERFECT DENTAL CLINIC
전문가미백과 자가미백의 차이
전문가미백
구분/비교
자가미백
치과에서 전문가에 의해 시술
방법
집에서 스스로 시행
15분씩 2~3회, One day
소요시간
3~4주 소요
과산화수소 35%

*치과마다 제품,성분 다름

주성분 농도
과산화수소 3.5~5.4%
한두 개 변색된 치아에도 효과적
미백효과
한두 개 변색된 치아에는 효과 미비
비싼 편
비용
전문가 미백의 절반 정도
일시적 이시림 증상이 있을 수 있음
주의사항
미백제가 잇몸에 닿아 잇몸 손상의 우려가 있음
CHECK!
내 치아는 얼마나 변색됐을까?

퍼펙트치과에는 다양한 미백 프로그램이 준비되어있어 검진결과를 기반으로

환자분의 우선순위에 따라 치료방법을 결정할 수 있습니다.

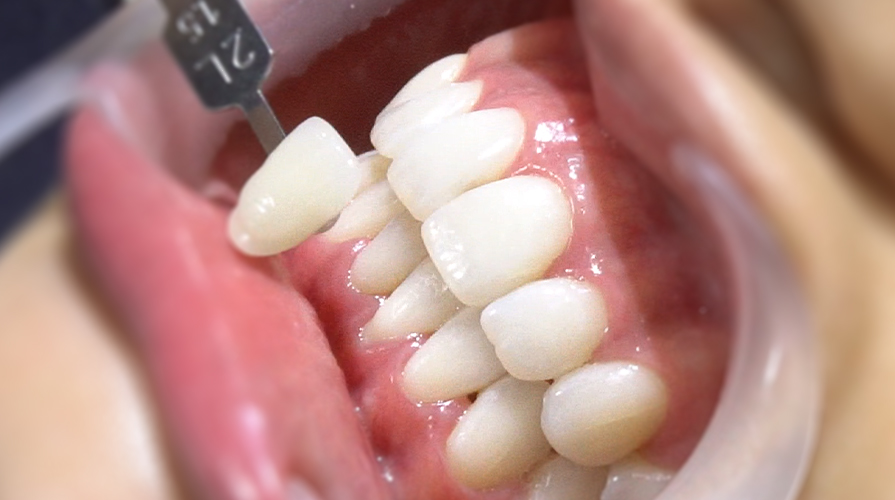
  하루 1시간이면 나타나는 효과  
BEFORE&AFTER
개인에 따라 부작용이 나타날 수 있으며 의사와 충분한 상담이 필요합니다.
PERFECT DENTAL CLINIC
치아미백 시 주의사항
PERFECT DENTAL CLINIC
치아미백 방법에 따른 과정
전문가미백

검진 및 치아 색상 체크 » 잇몸 보호제 도포 » 미백제 도포 » LED특수 광선 조사 » 당일 효과

자가미백

검진 및 치아 색상 체크  » 자가미백 제품 제작 및 수령 » 트레이에 미백젤 도포 

» 미백틀 3~4시간 착용 » 칫솔질 및 미백틀 세척 » 개인에 따라 3~4주 반복

실활치미백

신경치료 상태 체크 » 색상 체크 » 신경관 내 미백제 도포 » 완료

Q. 어떤게 더 좋은 미백인가요?

환자분 개인의 치아 상태와 환경 그리고 우선순위에 따라 다릅니다. 단순히 가장 좋은 미백효과를 보기 위해서는 전문가 미백과 자가 미백을 동시에 병행하시는 것이 좋습니다.

Q. 전문가미백을 하면 많이 하얘질까요?

개인의 치아마다 밝아지는 한계가 있어 저마다 결과물이 다릅니다. 해보아야 알 수 있으며 몇 단계씩 뛰어 넘어 밝아지는 분이 있는가 하면 아무리해도 색의 차이가 없는 경우도 있습니다. 치아미백으로 치아가 밝아지지 않을 경우 치아성형을 고려해볼 수 있습니다.

변색 원인에 따른 치료법
외부원인

플라그, 음식물 찌꺼기, 박테리아성 착색, 치석   

칫솔질, 스케일링

내부원인

노화, 선천적, 유전적, 색소가 포함된 음식, 흡연으로 인한 변색  

치아미백

테트라사이클린, 불소과잉섭취, 법랑질형부전   

라미네이트

외상으로 인한 치아손상   

신경치료 후 표백

01. 미백 직후에는 치아 표면에 착색이 되기 쉬워 특히나 주의해야 합니다.

02. 적어도 미백 시술 후 24시간 동안은 금연해야 합니다.

03. 색소가 들어간 음식과 음료는 되도록 절제하며 섭취 시 바로 양치하거나 가글해야 합니다. (ex.커피,티,김치찌개,카레)

04. 전문가 미백 후 며칠간은 이시림이 있을 수 있으나 자연스러운 증상으로 점차 괜찮아집니다.

      증상이 지속될 경우 해당 치과에 내원해주시기 바랍니다.

05. 자가미백 시 미백용 젤은 적당량만 사용하고 트레이 장착 시 젤이 넘치면 면봉이나 휴지로 닦아 잇몸에 닿지 않도록 합니다.

06. 자가미백 시 치아에 묻어있는 미백제는 양치질을 통해 깨끗이 닦아내야 합니다.

07. 이갈이를 하는 분의 경우 자가미백 트레이를 낮에 착용하셔야 합니다.

08. 치경부마모증(시린 이)이 있다면 미백을 하지 않는 것이 좋습니다.